NUHS Institutions will NEVER ask you to transfer money or disclose bank details over a call.
If in doubt, call the 24/7 ScamShield helpline at 1799, or visit the ScamShield website at www.scamshield.gov.sg.
Acute coronary syndrome is an umbrella term for any condition brought on when blood flow to the heart muscle is reduced suddenly.
The doctor will take your medical history and give you a physical examination. If the doctor suspects an acute coronary syndrome, usually the following tests will be performed:
Additional tests may be ordered by the doctor for further examination of the condition of your heart.
The symptoms are similar to that experienced during a heart attack. It is important to treat it as soon as possible. You should seek emergency help right away if you experience these symptoms and think you're having a heart attack.
An electrocardiogram (ECG or EKG) is a non-invasive test that measures the electrical activity of the heartbeats. An electrical impulse travels through the heart with each beat. This impulse causes the heart muscle to squeeze and pump blood. An electrocardiographic machine detects these impulses and records them in the form of waves.
This test allows the doctors to evaluate the regularity of the patient's heart rhythm or abnormality, if any.
An ECG gives two major kinds of information. First, by measuring time intervals on the ECG, a doctor can determine how long the electrical wave takes to pass through the heart. Finding out how long a wave takes to travel from one part of the heart to the next shows if the electrical activity is normal or slow, fast or irregular. Second, by measuring the amount of electrical activity passing through the heart muscle, a cardiologist may be able to find out if parts of the heart are too large or are overworked.
No. There’s no pain or risk associated with having an electrocardiogram. When the ECG stickers are removed, there may be some minor discomfort.

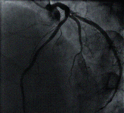
Coronary Angiography is a procedure to visualise the coronary arteries. The coronary arteries are the blood vessels that supply blood to the heart muscles. On ordinary chest X-ray films, the heart appears as a silhouette and the coronary arteries cannot be seen. To see the coronary arteries, a special dye or contrast medium is injected through a small tube (catheter) inserted into a large artery in the groin or the wrist. The catheter is then advanced to the heart and positioned at the mouths of the coronary arteries before injection is performed.
Coronary angiography is therefore an invasive procedure. Sometimes, another procedure called a left ventriculography is performed at the same session, whereby a catheter is advanced into the left ventricle (the lower and larger heart chamber) and contrast medium is injected. This allows visualisation of the left ventricle and its contractions.

In some people, the coronary arteries become narrowed, usually by a process called atherosclerosis in which cholesterol and other substances are deposited in the arterial wall. With progressive narrowing, the blood supply to the heart muscle gradually decreases, and eventually becomes insufficient to supply its needs. This usually results in chest pain (angina pectoris) during exertion or stress, but may also manifest as breathlessness, irregular heart rhythm or fatigue. When a blood vessel suddenly occludes completely, a full-blown heart attack occurs. Coronary Artery Disease is a common disease and a major killer in Singapore.
Coronary Angiography is carried out to determine whether there is any significant narrowing or blockage in the coronary arteries. Once determined, the doctor will decide on the best form of treatment to carry out.
It is also performed before Coronary Angioplasty (ballooning) is carried out to provide a 'road map' for guiding the Angioplasty procedure.

The procedure may be performed on an outpatient basis, or you may be admitted overnight.
Before the procedure:
On the day of the procedure:
After the procedure:
Coronary Angiography is one of the safest invasive procedures. There is a small risk of injury and complications with regards to this procedure. Most complications are minor bleeding, swelling and bruising from the puncture site and allergic reaction from the contrast medium. There is a very small risk (0.1%) of heart attack and stroke occurring during the procedure, and an even smaller risk (less than 0.1%) of major life-threatening complications.
As a patient:
Treatment for acute coronary syndrome varies. It ranges from medications to surgery methods to restore blood flow through your heart.
Medications can help to relieve chest pain and improve blood flow. Some medications your doctor could prescribe to you are aspirins, beta-blockers, cholesterol-lowering drugs etc. Procedures like angioplasty and stenting could also be recommended. Depending on the severity, the doctor could also recommend coronary artery bypass surgery.
Coronary artery narrowings may be treated using either medications that reduce the heart's demand for blood, or by procedures aimed at increasing the heart's blood supply. One of the two most common methods to increase the blood supply is Coronary Angioplasty, sometimes abbreviated as PTCA (Percutaneous Transluminal Coronary Angioplasty).
PTCA offers a non-surgical alternative to Coronary Artery Bypass Surgery.
In PTCA, a balloon mounted on a thin tube (a catheter) is advanced into your coronary artery until it lies within the narrow area. The balloon is then inflated at high pressure, often a few times, to dilate the narrowing. Upon balloon deflation, the arterial narrowing is often significantly reduced.

A sample of a stent
A stent is a small metal coil to provide support to the narrowed segment of the coronary artery after angioplasty, preventing the artery from collapsing and reducing the likelihood of the narrowing recurring. Modern stents are made of stainless steel or a cobalt chromium alloy and are inert to the body. Some stents also have a medication coating and these may be preferred in certain situations to further reduce the chance of repeat narrowing of the heart arteries. Nowadays, stents are frequently placed directly over the narrowed segments (direct stenting) without prior balloon dilatation.
Before going through a PTCA, a coronary angiogram is done first to provide a 'roadmap'. Undergoing PTCA is also very similar to having a coronary angiogram procedure.

During balloon inflation, you may experience some chest discomfort, and you should report this to your attending cardiologist. Stenting is carried out in a similar manner. The procedure may take from 1 to 2 hours or more depending on the complexity of the diseased artery.
Following the successful PTCA, you will be monitored in a special monitoring ward. During this period, the sheath may be kept in your groin artery for 4 to 5 hours. However, the sheath may be removed immediately after the procedure if the situation allows. After the sheath is removed, the puncture site will be compressed for about 30 minutes to ensure that there is no bleeding.
You will have to remain in bed for several hours or until the following day to ensure the puncture site is sufficiently healed before walking. Your cardiologist will determine how long you need to stay in bed before you can walk around. Following that, some blood tests and ECGs will be performed to monitor your condition. If there are no complications, most patients can be discharged on the same day or the day after.
The success rate of Coronary Angioplasty is usually about 95%, depending on the nature of your coronary narrowing. However, in about 5% of cases, the procedure may be unsuccessful and the artery remains narrowed. In very few patients (about 1%), urgent bypass surgery may be required if the procedure is complicated.
There is a possibility of a recurrence of the narrowing of the coronary artery in the 6 months following the initial successful angioplasty or stenting, and you would usually feel a chest discomfort should it happen. If you feel a chest pain, you should seek medical attention immediately and inform your doctor.

Major complications like heart attacks, abnormal heart rhythm, stroke and death occur in less than 1% of the patients undergoing PTCA.
Less serious complications like bleeding from the puncture site, bruising and swelling of the puncture site, and blood clot formation in the artery where the sheath is inserted occur in 1-3% of the patients.
Overall, the procedure is very safe and well-tolerated.
As a patient:
Coronary artery bypass surgery is an operation that is carried out to improve the flow of blood to the heart muscle in people with coronary heart disease where the coronary arteries are severely narrowed or blocked.
The operation involves taking blood vessels from other parts of the body and attaching them to the coronary arteries past the blockage. The blood is then able to flow around, or "bypass" the blockage. If more than one artery is blocked, you may need more than one bypass.
Call the doctor right away if:
Call the doctor during office hours if: